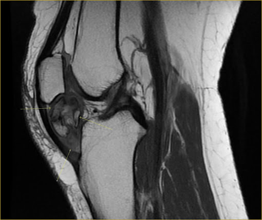
Soft tissue CHONDROMA of the Hoffa fat pad.
MRI. AX and SAG PD and T1. Heterogeneous expansive lobulated lesion with areas of ossification in Hoffa's fat pad.
Radiological cases of daily practice including magnetic resonance imaging (MRI), computed tomography (CT), positron emission tomography (PET/CT) and X-Rays, without wasting time in your routine. Click on READ MORE button to enlarge images and click on the SUBSCRIBE button to receive e-mail updates. Thank you.
Comments
Post a Comment